The Best Dental X-Ray Sensors of 2026
Our research team evaluated six leading dental X-ray sensors using eight weighted comparison factors: Image Quality (20%) ,Total Cost of Ownership (18%),Warranty & Protection Plans (15%), Software Compatibility (12%), Patient Comfort (10%), Replacement Sensor Policy (10%), Active Imaging Area (8%), Support Value (7%). We analyzed third-party reviews from Dental Product Shopper and Clinicians Report*, manufacturer specifications, verified pricing data, and actual X-ray image comparisons. The results revealed significant value differences across brands. The DentiMax Pro earned our highest overall score, combining Clinicians Report endorsement with comprehensive warranty coverage and universal software compatibility.Comparison Chart: The Best Dental X-Ray Sensors of 2026
See DentiMax in a dental X-ray sensor comparison with the Dexis™, Schick®, and Carestream®. Compare dental sensor cost, warranty, thickness, active image area, and X-ray images.
|
|
|
|
|
|
|
| Name | DentiMax Pro Sensor | Dream Sensor | Open Sensor | Dexis™ | Schick® | Carestream® |
|---|---|---|---|---|---|---|
| Overall Rank | #1 | #2 | #3 | #4 | #5 | #6 |
| Price | Size 1.5: $7,999 retail |
Size 2: $6,999 retail |
Size 2: $2,999 retail |
Size 1.5: $10,999 retail |
Size 2: $7,995 retail |
Size 2: $5,999 retail |
| Thickness | 8.3 mm | 5.3 mm | 5.0 mm | 8.8 mm | 7.0 mm | 7.3 mm |
| Manufacturer Warranty | 3-Year Manufacturer Warranty Included | 3-Year Manufacturer Warranty Included | 3-Year Manufacturer Warranty Included | 1-Year Manufacturer Warranty Included | 2-Year Manufacturer Warranty Included** | 3-Year Manufacturer Warranty Included |
| Accidental Replacement Plan | Accidental Protection Plan Included†| Accidental Protection Plan Included†| Accidental Protection Plan Included†| No | No | No |
| Replacement Sensors | Brand New | Brand New | Brand New | May Be Refurbished | May Be Refurbished | Brand New |
| Cable Repair | $999 - Repairable Cable | $999 - Repairable Cable | $999 for Sizes 1.5 and 2 $749 for Sizes 1 and 0 |
Not Repairable | Sensor Comes with 1 Replacement Cable Approx. $800 per Additional Cable Replacement |
Not Repairable |
| Active Imaging Area | 852 mm² 74% of Sensor |
900 mm² 68% of Sensor |
879 mm² 63% of Sensor |
852 mm² 74% of Sensor |
910 mm² 68% of Sensor |
930 mm² 66% of Sensor |
| Software Compatibility | Universal — Dexis™, Patterson® Eaglesoft®, Carestream®, Gendex™ Vixwin™, and more | Universal — Dexis™, Patterson® Eaglesoft®, Carestream®, Gendex™ Vixwin™, and more | Universal — Dexis™, Patterson® Eaglesoft®, Carestream®, Gendex™ Vixwin™, and more | Limited — Dexis software required for full functionality | Moderate — optimized for Eaglesoft; limited with other platforms | Limited — Carestream ecosystem preferred; TWAIN compatible |
| Support Details | Free 1-Year Then $99/Month (Optional) |
Free 1-Year Then $99/Month (Optional) |
Free 1-Year Then $99/Month (Optional) |
Free 1-Year Then $107.91/Month (Optional)* |
$115/Month (Optional)*** |
Free 1-Year Then $49.99/Month (Optional) |
| Evaluation |
"Should be strongly considered for new or replacement sensor purchases." Read Full Review at Clinicians Report |
"DentiMax Dream Sensors deliver a diagnosis image quality that evaluators rated a perfect 5.0"![]() Read Full Review |
"Excellent resolution, sensitivity, image quality..." Read Full Review at Clinicians Report |
![]() |
![]() Read Full Review |
Review Not Found |
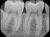
| X-Ray Example |
X-ray taken with the Pro Sensor |
X-ray taken with the Dream Sensor |
X-ray taken with the Open Sensor |
X-ray taken with the Dexis Sensor |
X-ray taken with the Schick 33 Sensor |
X-ray taken with the Carestream Sensor |
1. DentiMax Pro — For Practices Prioritizing Premium Image Quality and Long-Term Value
- Overall Rank: #1
- Price: Size 1.5: $7,999
- Warranty: 3-Year + Accidental Protection
- Review: "Should be strongly considered" — Clinicians Report
The DentiMax Pro earned top position by delivering premium diagnostic imaging. Clinicians Report endorsed the sensor, stating it "should be strongly considered" in their independent evaluation. At $7,999 for Size 1.5, it includes a 3-year manufacturer warranty (versus Dexis's 1-year) and an accidental protection plan that competitors don't offer at any price.
The DentiMax Pro sensor's universal software compatibility avoids vendor lock-in that plagues Dexis and Schick users. It integrates with virtually all major imaging platforms. The repairable cable design ($999 repair vs. full replacement) and brand new replacement sensors (not refurbished) provide long-term cost advantages. With 852 mm² active imaging area (74% of sensor surface), it matches Dexis's efficiency while delivering superior value.
Best for: Established practices seeking premium image quality, software flexibility, and predictable long-term costs.
2. DentiMax Dream Sensor — For Exceptional Diagnostic Imaging at Unbeatable Value
- Overall Rank: #2
- Price: Size 2: $6,999
- Warranty: 3-Year + Accidental Protection
- Reviews: 4.8/5.0 overall, 5.0/5.0 image quality (Dental Product Shopper), "Best Product" + "Editors' Choice" (Dental Advisor)
The Dream Sensor achieved a perfect 5.0/5.0 score for diagnostic image quality from Dental Product Shopper — the highest rating in our comparison. This exceptional imaging performance costs $6,999 for Size 2, which is $1,000 less than Schick 33 and $4,000 less than Dexis. At just 5.3 mm thick, it's the second thinnest sensor tested, maximizing patient comfort.
The 3-year warranty is 50% longer than Schick's and triple Dexis's standard coverage. The accidental protection plan allows $1,999 replacements (versus $6,999 full price), and cables are repairable at $999. Like all DentiMax sensors, it works with any imaging software, avoiding proprietary lock-in. For practices refusing to compromise on image quality while controlling costs, the Dream Sensor delivers the best combination of diagnostic performance and total ownership cost.
Best for: Value-conscious practices that won't compromise on diagnostic image quality, startups seeking professional-grade equipment.
3. DentiMax Open Sensor — For Budget-Conscious Practices Entering Digital Radiography
- Overall Rank: #3
- Price: Size 2: $2,999
- Warranty: 3-Year + Accidental Protection
- Review: Positive evaluation — Clinicians Report
The Open Sensor is the most affordable new-sensor option at $2,999 for Size 2 — 50% less than Carestream and 63% less than Schick. Despite entry-level pricing, it includes the same comprehensive 3-year warranty and accidental protection plan as DentiMax's premium sensors. At 5.0 mm thickness (thinnest in our comparison), it maximizes patient comfort for pediatric or gag-sensitive patients.
Cable repair costs $999 for all sensor sizes, maintaining repairable infrastructure like higher-end models. The sensor works with all major imaging platforms, providing software flexibility that sensors costing 2–3x more often lack. For new practices with limited capital, offices adding operatories, or transitions from film radiography, the Open Sensor delivers functional digital imaging at an unbeatable price.
Best for: New practice startups, practices expanding operatories on budget, offices transitioning from film.
4. Carestream® — For Practices Prioritizing Large Imaging Areas
- Overall Rank: #4
- Price: Size 2: $5,999
- Warranty: 3-Year
- Reviews: Limited third-party testing available
Carestream delivers the largest active imaging area at 930 mm², providing comprehensive anatomical coverage. At $5,999 for Size 2, it includes a full 3-year manufacturer warranty and provides all brand new replacement sensors. The sensor integrates well within the Carestream software ecosystem, and practices already using Carestream platforms will find seamless compatibility. Post-warranty support is available at $49.99/month, approximately half the cost of comparable support plans.
For practices invested in Carestream infrastructure or those prioritizing maximum imaging area, the Carestream sensor delivers reliable diagnostic performance at a moderate price point.
Best for: Practices using Carestream software ecosystems, offices prioritizing maximum imaging area.
5. Schick® — For Seamless Patterson Ecosystem Integration
- Overall Rank: #5
- Price: Size 2: $7,995
- Warranty: 2-Year (extendable with service contract)
- Review: 4.6/5.0 — Dental Product Shopper
The Schick 33 sensor earned 4.6/5.0 from Dental Product Shopper and maintains strong recognition within the Patterson dealer network. For practices deeply integrated with EagleSoft practice management software, the sensor provides optimized compatibility and streamlined workflow. The 910 mm² active imaging area captures substantial diagnostic information, and optional support is available from Patterson.
The 2-year warranty can be extended through the $115/month service club. For practices standardized on Patterson products and valuing single-vendor support, Schick delivers proven diagnostic imaging with established service backing.
Best for: Practices committed to Patterson/EagleSoft ecosystems, offices valuing unified vendor support.
6. Dexis™ — For Practices Prioritizing Established Brand Leadership
- Overall Rank: #6
- Price: Size 1.5: $10,999
- Warranty: 1-Year (extendable with support contract)
- Review: 4.5/5.0 — Clinicians Report
Dexis carries the strongest brand recognition in dental imaging. The 852 mm² active imaging area (74% of sensor surface) provides efficient diagnostic coverage. For practices already invested in the Dexis software ecosystem, adding Dexis sensors ensures complete compatibility with existing infrastructure. Extended warranty coverage is available through $107.91/month support contracts under the Core Care Plan.
The Dexis brand name carries significant weight in resale value and practice transition scenarios. For practices where brand recognition, established infrastructure compatibility, or practice sale considerations are primary factors, Dexis represents the most recognizable name in digital dental imaging.
Best for: Practices with existing Dexis infrastructure, offices prioritizing brand recognition for practice transitions.
Specialized Rankings by Category
Top Dental X-Ray Sensors for Image Quality
- DentiMax Dream Sensor — Perfect 5.0/5.0 diagnostic image quality (Dental Product Shopper), "Best Product" + "Editors' Choice" awards
- DentiMax Pro — "Should be strongly considered" endorsement (Clinicians Report)
- Schick 33 — 4.6/5.0 overall rating (Dental Product Shopper)
- Dexis — 4.5/5.0 rating (Clinicians Report)
- Carestream — 930 mm² active imaging area, limited third-party testing
- DentiMax Open Sensor — 879 mm² imaging area, adequate for standard diagnostic needs
Top Dental X-Ray Sensors for Total Cost of Ownership (5-Year Projection)
- DentiMax Open Sensor — $2,999–$4,498 total (lowest ownership cost)
- DentiMax Dream Sensor — $6,999–$8,998 total (exceptional value for perfect image quality)
- Carestream — $8,400–$9,000 total (mid-range with optional support)
- DentiMax Pro — $7,999–$12,751 total (comprehensive protection included)
- Schick — $9,375+ minimum (mandatory support contracts)
- Dexis — $17,000+ total (highest ownership cost)
Top Dental X-Ray Sensors for Software Compatibility
- DentiMax Pro — Universal compatibility, no proprietary software required
- DentiMax Dream Sensor — Identical universal compatibility
- DentiMax Open Sensor — Same universal platform
- Carestream — Optimized for Carestream ecosystem, limited third-party integration
- Schick — Tight Patterson/EagleSoft integration creates vendor lock-in
- Dexis — Requires proprietary software, significant lock-in
Frequently Asked Questions
Which dental X-ray sensor has the best image quality?
The DentiMax Dream Sensor achieved a perfect 5.0/5.0 score for diagnostic image quality from Dental Product Shopper — the only sensor to receive a perfect score. It also earned "Best Product" and "Editors' Choice" awards from Dental Advisor (96% rating). DentiMax Pro followed with Clinicians Report endorsement stating it "should be strongly considered."
Are DentiMax sensors compatible with my current dental software?
Yes. All DentiMax sensors feature universal software compatibility with virtually all major imaging platforms including Dexis, Schick, Carestream, and third-party systems. This contrasts with Dexis and Schick sensors requiring proprietary software ecosystems that lock practices into specific vendors.
What is the average lifespan of a dental X-ray sensor?
Most dental X-ray sensors last 5–7 years on average. Sensors that are well cared for may last longer, while those in high-volume practices may need replacement sooner due to heavier daily use.
What's the true cost difference between sensor brands over 5 years?
Dexis costs approximately $17,000+ over 5 years ($10,999 upfront + support contracts). Schick costs roughly $9,375+ ($7,995 + mandatory warranty contracts). The DentiMax Dream Sensor costs $6,999–$8,998 over 5 years while delivering superior image quality. The Open Sensor provides the lowest total cost at $2,999–$4,498.
Why should you avoid refurbished replacements?
Dexis and Schick may provide refurbished replacement sensors under warranty, while DentiMax provides exclusively brand new sensors for all replacements. Refurbished sensors have shorter remaining lifespans and unknown usage histories versus new sensors providing full expected lifetime performance.
Which sensor is thinnest for patient comfort?
The DentiMax Open Sensor is thinnest at 5.0 mm, followed by the Dream Sensor at 5.3 mm. In comparison, Dexis is 8.8 mm (76% thicker) and the Pro Sensor measures 8.3 mm. Thinner profiles maximize patient comfort for posterior imaging and gag-sensitive patients.
Do I need expensive support contracts with DentiMax sensors?
No. All DentiMax sensors include comprehensive 3-year warranties with no mandatory support contracts. Optional support is $99/month after year one — entirely optional. Schick requires $115/month for third-year warranty coverage and Dexis requires $107.91/month support for extended coverage.
What happens if I damage my sensor cable?
DentiMax sensors feature repairable cables at $999. Dexis and Carestream have non-repairable cables, requiring full sensor replacement at complete purchase price ($10,999 for Dexis, $5,999 for Carestream). Schick includes one replacement cable but additional cables cost ~$800 each.
*An independent, non-profit, dental education and product testing organization. Go to www.dentalcaredowney.com for a full report.
**Clinicians Report ProSensor: https://dentalcaredowney.com/wp-content/uploads/2026/01/DentiMax_X-raySensors_DU.pdf
***Clinicians Report Open Sensor: https://dentalcaredowney.com/wp-content/uploads/2024/10/DentiMax_OpenSensor_DU.pdf







